Восстановление зуба 2.6 с использованием B&E Flow: моделировка и адаптация без компромиссов
Авторы: Лаврысь Виталий Семёнович, команда MyDent24 Время прочтения: 5-7 мин.
Дата публикации: 03.04.2026
Восстановление жевательной группы зубов требует от стоматолога не только художественного видения, но и ювелирной работы с материалами. Сегодня разбираем клинический случай из практики нашего доктора Виталия Лаврысь - терапевта, пародонтолога и ортопеда.
Задача:
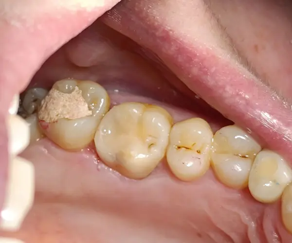
По результатам КЛКТ у пациента был выявлен дефект твердых тканей на дистальной поверхности зуба 2.6. Основной вызов — восстановить анатомию зуба, сохранив плотный апроксимальный контакт и обеспечив идеальную адаптацию композита к тканям зуба.
Протокол лечения:
После этапа препарирования доктор принял решение работать в комбинированной технике с использованием материалов линейки B&E.
Выбор материалов:
- B&E Flow: использовался как адаптивный слой и для моделировки дистальной стенки.
Важный нюанс: этот текучий композит обладает уникальной стабильной консистенцией. Он отлично контролируется, что позволяет формировать апроксимальные стенки с высокой точностью. - Xs-Fil (пакуемый композит): стал основой реставрации. Для воссоздания естественного цвета и объема применялась линейная техника с оттенками AO3 и A2.
Профессиональные советы от Виталия Лаврысь:
Любой качественный материал требует правильного «обращения». В процессе работы с композитами B&E рекомендуется обратить внимание на три момента:
- Контроль света: композит может менять пластичность при длительном воздействии света. Рекомендуем использовать канюли однократно и держать материал закрытым, когда он не используется.
- Чистота инструментов: даже микрочастицы застывшего композита на гладилке могут испортить финальный результат. Очищайте инструменты до идеального состояния.
- Экспресс-очистка: антисептические салфетки прямо во время приема - это не только гигиена, но и отличный способ поддерживать рабочую поверхность инструментов чистой. Это не замедляет процесс, а наоборот- делает работу более комфортной и предсказуемой.
Итог
Материалы B&E в очередной раз доказали свою эффективность при работе с боковой группой зубов. Предсказуемость, удобная адаптация и простота моделировки - залог того, что реставрация прослужит долго, а контакт с соседним зубом будет соответствовать всем медицинским стандартам.
Команда MyDent24 благодарит Виталия Семёновича за предоставленные материалы. Надеемся, что его опыт будет полезен и вам!

