Работа в условиях ограниченного доступа
Авторы: Лаврысь Виталий Семёнович, команда MyDent24 Время прочтения: 5-7 мин.
Дата публикации: 07.04.2026
Лечение пульпита - это всегда ответственный процесс, требующий точности и внимания. Но что делать, когда пациент сталкивается не только с болью, но и с дополнительными трудностями, такими как ограниченное открывание рта и повышенная тревожность? Сегодня мы погрузимся в клинический случай от нашего специалиста - Виталия Лаврысь (врач-терапевт, пародонтолог, эндодонтист, ортопед), который успешно справился с лечением пульпита 46 зуба у пациентки с привычным вывихом нижней челюсти.
Клиническая ситуация
Зуб: 46;
Диагноз: пульпит;
Особенности пациентки: привычный вывих нижней челюсти, что привело к:
- значительному ограничению открывания рта;
- высокому уровню тревожности, связанному с прошлым опытом;
- необходимости провести лечение быстро и максимально деликатно.
Основная задача: провести эндодонтическое лечение, минимизируя стресс и дискомфорт для пациентки, обеспечив при этом полный контроль над качеством обработки корневых каналов.
В условиях, когда каждый миллиметр имеет значение, а каждое движение должно быть выверенным, ключевыми становятся следующие характеристики инструментов:
- гибкость: способность адаптироваться к сложной анатомии канала;
- предсказуемость: уверенность в каждом шаге обработки;
- минимальный риск осложнений: безопасность для пациента и сохранение целостности структуры зуба.
Учитывая эти критерии, выбор пал на эндодонтическую систему Ramo Gold. Её файлы, изготовленные из специальных сплавов, обладают исключительной гибкостью и предсказуемостью, что значительно снижает риск транспортации канала.
Этапы лечения
Работа велась с акцентом на безопасность, скорость и эффективность, несмотря на сложности.
Формирование ковровой дорожки:
- Из-за ограниченного доступа и необходимости экономить время, первым этапом стало формирование “ковровой дорожки” машинными файлами G Path.
- Эти файлы (например, 13/02) имеют конусность 2, отличаются высокой гибкостью и обладают пассивным кончиком, что позволяет аккуратно проходить до апикальной трети без риска повреждения.
- Первый файл (13/02) вводился до первого значительного сопротивления.
- Для точного определения рабочей длины и окончательной доработки использовался ручной файл D-file (например, 08). Эти файлы, благодаря своему D-образному поперечному сечению и особенностям сплава, более эффективны в узких и облитерированных каналах по сравнению с классическими К и С файлами.
- Далее ковровая дорожка формировалась последовательно файлами Path-file (13/02, 16/02, 19/02) до установленной рабочей длины.
Финальное формирование каналов:
- Основное расширение каналов проводилось системой Gold до рабочего размера 30/04.
- Уникальная особенность файлов Ramo Gold – их способность изначально изгибаться под углом 90-120 градусов. Это позволяет легко вводить их в канал и начинать работу, даже если канал имеет выраженные изгибы.
Результат работы
- Даже в условиях анатомической сложности и ограниченного доступа, файлы Ramo Gold демонстрировали превосходный контроль и стабильность.
- В случае обнаружения изгиба канала, инструменты отлично сохраняли форму и аккуратно формировали канал, в том числе и в месте изгиба.
Что чувствовала пациентка? По словам пациентки, во время всего лечения она не испытывала дискомфорта или неприятных ощущений. Вибрации практически не ощущались, что стало возможным благодаря плавной работе файлов.
Ирригация: На протяжении всего процесса проводилась тщательная ирригация 3% раствором гипохлорита натрия (NaOCl).
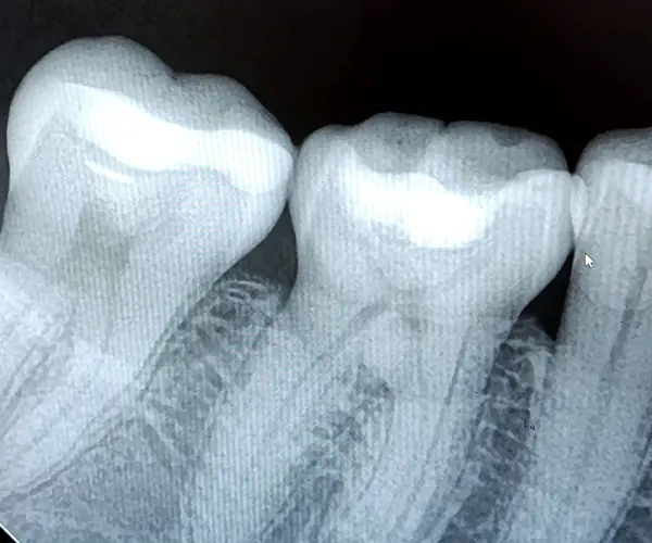
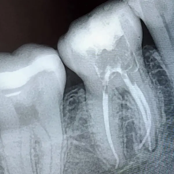
Контроль: рентгеновские снимки
Заключение
Система Ramo Gold в данном клиническом случае доказала свою высокую производительность и надежность. Эти файлы работают аккуратно, плавно, без излишнего давления, что позволяет достигать отличных, ожидаемых результатов даже в самых сложных условиях. Их смело можно рекомендовать для лечения пациентов, которым требуется максимально деликатный и комфортный подход.
Команда MyDent24 благодарит Виталия Семёновича за предоставленные материалы. Надеемся, что его опыт будет полезен и вам!

