Клинический случай: прохождение облитерированного канала клыка
Авторы: Гончаров Кирилл Игоревич, команда MyDent24 Время прочтения: 5-7 мин.
Дата публикации: 19.03.2026
Облитерация корневых каналов — один из самых частых «вызовов» в эндодонтии. Сегодня разберем кейс пациента, направленного на эндодонтическое лечение с осложненной анатомией.
Исходные данные
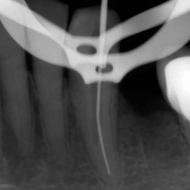
- Диагноз: облитерация канала клыка (окклюзия просвета на ~70%).
- Задача: пройти корневой канал, провести качественную эндодонтическую обработку и подготовить зуб под дальнейшее ортопедическое протезирование.
Протокол работы
Для работы с облитерированными каналами критически важен правильный выбор инструментов и постоянный визуальный контроль. В этом кейсе Кирилл Гончаров использовал следующий протокол:
1. Инструментарий: вся работа по поиску и созданию «ковровой дорожки» проводилась исключительно с помощью ультразвукового аппарата DTE D600 LED. В качестве основного рабочего инструмента использовалась ультразвуковая насадка ED4T - она позволила эффективно и бережно работать в области устья и верхней трети канала.
2. Контроль: работа проводилась строго под рентгенологическим контролем. Это обязательное условие при работе с облитерациями: важно вовремя скорректировать направление и не допустить перфорации корня.
3. Формирование канала: после того, как был получен доступ к истинному просвету канала, Кирилл провёл первичную инструментальную обработку.
- Инициальный файл: 30.02.
- Основная обработка: работа одним файлом 35.04. Использование системы одного файла в таких ситуациях позволяет минимизировать риск поломки инструмента и упрощает протокол.
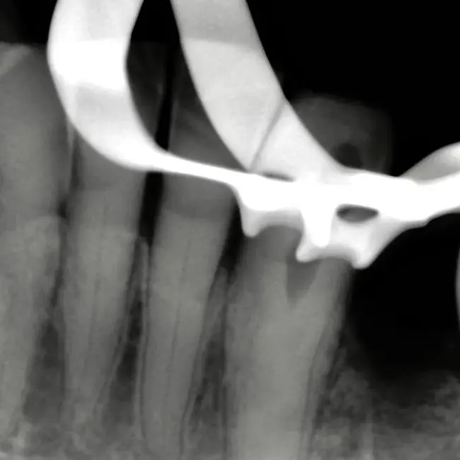
4. Завершающий этап: после успешного прохождения и очистки канала была проведена обтурация (пломбировка) методикой вертикальной конденсации гуттаперчи. Это обеспечивает герметичность и предсказуемый результат для долгосрочного протезирования.
Итог
Канал успешно пройден на всю рабочую длину. Зуб восстановлен временной реставрацией, и пациент направлен к лечащему врачу-ортопеду для продолжения реабилитации.
Грамотное использование ультразвука и четкое следование протоколу позволяют справляться с задачами, которые еще недавно казались невыполнимыми.
Узнайте больше об оборудовании
Ультразвуковой скалер DTE D600 LED, который стал ключевым инструментом в данном кейсе, позволяет значительно повысить эффективность работы даже в самых сложных клинических ситуациях.
Узнать больше об ультразвуковом скайлере и оформить заказ на DTE D600 LED вы можете на нашем сайте:
Команда MyDent24 благодарит Кирилла Гончарова за предоставленные материалы. Надеемся, что его опыт будет полезен и вам!

